JW Power Bleaching NEXT – Napredna generacija izbjeljivanja
JW Power Bleaching NEXT predstavlja novu generaciju provjerenog JW Power Bleaching gela za lasere. Poboljšana verzija omogućuje lakšu primjenu zahvaljujući dvostrukoj patroni i nastavku za miješanje te se sada može aktivirati laserom, lampom ili čak bez izvora svjetla.
JW Power Bleaching NEXT je dvokomponentni gel za izbjeljivanje koji se koristi u ordinaciji, u dvostrukoj patroni, s 35 % aktivnog sastojka (vodikov peroksid) za brzo izbjeljivanje i posvjetljivanje obojenih i devitaliziranih zuba. Može se koristiti bez izvora svjetla, no postiže još bolje rezultate uz aktivaciju.
Značajke
| Značajke | Prednosti |
| Visok sadržaj aktivnih sastojaka | Brzo i sigurno izbjeljivanje s dugotrajnim rezultatima, nježno prema zubima |
| Najbolja kvaliteta | Osigurava maksimalne rezultate u najkraćem mogućem vremenu |
| Nježno za zube | Nije potrebno koristiti desenzitizer nakon izbjeljivanja |
| Sadrži minerale | Pruža temeljitu zaštitu zuba |
| Neutralna pH vrijednost | Ne oštećuje površinu zuba |
| Idealna konzistencija | Ne curi, osigurava dobar kontrast na zubu |
| Automix patrona | Nije potrebno ručno miješanje, osigurava dosljednu kvalitetu |
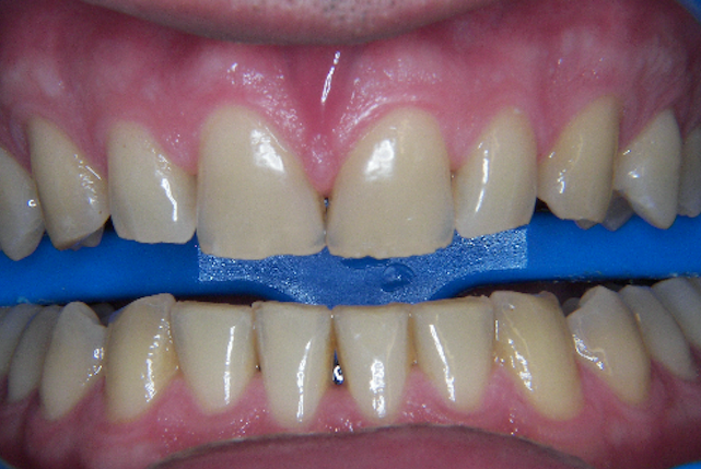
prije izbjeljivanja:

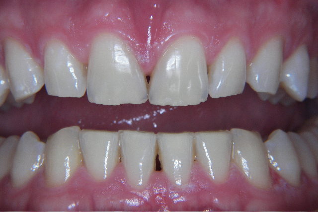
poslije izbljeljivanja:

Više o proizvodu možete pogledati na stranicama proizvođača.